Products
Powerbone Granules

About this Product:
Fully resorbing synthetic bone graft.
Powerbone Granules is Beta Tricalcium phosphate(b-TCP) based porous bone graft substitutes including Silicate, ZrO2 nanoparticles for antibacterial efficacy.
The interconnectivity of porous structure and microporosity assist capillary motion of blood and body fluids, enhanced penetration for osteogenic cells, and ossification of the synthetic matrix.
Powerbone Granules have different particle sizes between 0,25 – 2 mm. The irregularly shaped granules promote interlocking and improve mechanical stability.
100% Synthetic
Contains no tissue of human or animal origin therefore carries no risk of disease transmission.
Osteoconductive and Osteoinductive
Provides a scaffold for new bone. Highly interconnected porosity with excellent mechanical resistance. Include silicate which increases circulating protein retention giving bioactive characteristics to the graft.
Biodegradable
With its optimized porous structure and chemical composition, our products are suitable for the continuous remodeling cycle of healthy bone. β-TCP resorbs over time and being replaced with bone during the healing process.
Shelf Life is five years
Versatile Format
The porosity and hydrophilic nature mean Powerbone CRUNCH can be used alone or with:
- Pharmaceuticals or Hyaluronic Acid.
- Autogenous bone/blood products such as PRP/PRF or Slow resorbing hydroxyapatite grafts.
Sizes and Availability
0.5 cc, 1.0 cc and 2.0 cc glass bottles, double sterile packaged.
Applications
for use in non-load bearing defects in:
- Alveolar bone regeneration
- Lateral and Crestal Sinus
- Extraction Socket Reservation (with or without implant placement)
- Intraosseous/Periodontal bone defects
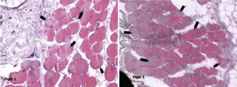
Osteoid formation (Osteoinductive characteristics) 2 months after impantation of Powerbone Granule (Crunch) in skeletal muscle.

